
In der SportPraxis Austria in Perchtoldsdorf bei Wien setzen wir ultraschall-navigierte gezielte Injektionstherapien ein, um Schmerzen zu lindern und Heilungsprozesse zu unterstützen. Durch präzise navigierte Spritzen – etwa bei der Sklerosierung von Neogefäßen bei Sehnenerkrankungen oder regenerativer Hyaluronsäuren – können wir direkt am Ort des Geschehens wirken. Ob ein gereiztes Kniegelenk bei Arthrose, ein entzündeter Tennisellenbogen oder hartnäckige Achillessehnenbeschwerden: Ultraschall-navigierte Injektionen bieten eine schnelle und effektive Linderung für Hobby- wie Profisportler und auch für aktive Senior:innen in der Hand eines erfahrenen Anwenders.
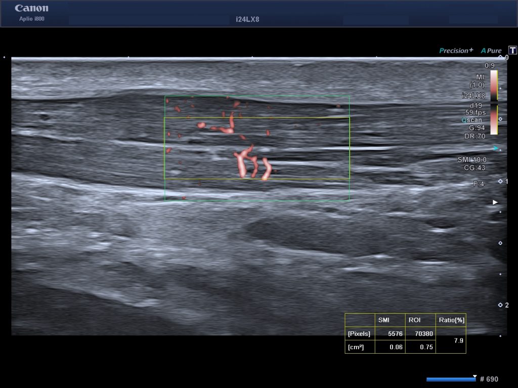
Professor Knobloch führt seit 2005 ultraschall-navigierte Sklerosierungen von Neogefäßen als Spezialtherapie bei Sehnenerkrankungen durch und ist Ultraspezialist für diese Therapieform.
Unter Injektionstherapie versteht man in der Orthopädie alle Behandlungen, bei denen heilende Substanzen per Spritze an die betroffene Struktur gebracht werden. Der Vorteil liegt auf der Hand: Das Medikament (oder auch natürliche Präparate) wirkt direkt dort, wo es benötigt wird, in höherer Konzentration und mit weniger systemischen Nebenwirkungen als z.B. Tabletten. In unserer Praxis verwenden wir verschiedene Injektionsarten, je nach Beschwerdebild:
Kurzum, die Injektionstherapie umfasst ein ganzes Spektrum an maßgeschneiderten Spritzenbehandlungen – von schulmedizinisch (Kortison, Hyaluron) bis biologisch (PRP, homöopathisch) – mit dem gemeinsamen Ziel, direkt und gezielt an der Schmerz- oder Entzündungsquelle zu wirken.
Abhängig von der Art der Injektion gibt es leicht unterschiedliche Abläufe, aber generell sieht eine Sitzung so aus: Der Arzt untersucht zunächst nochmals genau die schmerzende Struktur und desinfiziert die Haut über dem Injektionsgebiet. Gegebenenfalls nutzen wir Ultraschall, um den exakten Einstichort zu finden (besonders bei tieferen Gelenken oder Sehnen, damit wir millimetergenau am richtigen Punkt sind). Anschließend wird mit einer feinen Nadel die gewählte Substanz injiziert. Keine Sorge vor Spritzen! Unsere Ärzt:innen sind sehr erfahren, und wir verwenden auf Wunsch gerne ein lokales Betäubungsspray oder vereisen kurz die Haut, damit Sie den Einstich kaum spüren. Viele Injektionen – etwa in oberflächliche Sehnenbereiche – sind so gut wie schmerzfrei. Bei Gelenkinjektionen spüren Sie manchmal einen leichten Druck, wenn Flüssigkeit ins Gelenk hineinläuft, aber das ist gut tolerierbar. Die Prozedur dauert meist nur wenige Minuten. Nach der Spritze: Wir empfehlen, das behandelte Areal am selben Tag etwas zu schonen und ggf. zu kühlen (besonders nach Kortison- oder PRP-Injektionen, da selten eine Reizreaktion auftreten kann). In der Regel können Sie aber sofort danach wieder normal gehen und Ihre Heimfahrt antreten – wir halten Sie nur kurz zur Beobachtung in der Praxis (ca. 10–15 Min), um sicherzugehen, dass Sie die Injektion gut vertragen haben. Je nach Medikament tritt die Wirkung unterschiedlich schnell ein: Kortison spritzen: oft spürbare Besserung nach 1–2 Tagen (manchmal sogar Stunden). Lokalanästhetikum: sofortige Betäubung für einige Stunden. Hyaluronsäure: wirkt über Wochen; oft merkt man nach der zweiten/dritten Spritze eine Verbesserung. PRP: braucht etwas länger – Effekt oft nach 2–4 Wochen, hält dafür Monate an. Wir planen mit Ihnen eventuelle Folgespritzen und kontrollieren den Fortschritt. Insgesamt ist der Ablauf sehr sanft und sicher: ernsthafte Nebenwirkungen sind äußerst selten. Wichtig ist uns, dass Sie sich wohlfühlen – unser Team beantwortet gerne Ihre Fragen während der Behandlung.
Gezielte ultraschall-navigierte Injektionsbehandlungen kommen insbesondere bei hartnäckigen Sehnenproblemen wie auch als Eskalationsmaßnahme bei Arthrosen in der SportPraxis Austria in Frage, besonders wenn weitere konservative Maßnahmen (Physiotherapie, energie-basierte Therapien) allein nicht ausreichen. Typische Patientengruppen, die von Injektionstherapien profitieren, sind:
Betreuung und Vertrauen: Unser erfahrenes Team in Perchtoldsdorf hat schon unzählige Injektionen durchgeführt. Wir wissen, dass Spritzen manchen Patienten Unbehagen bereiten – deshalb setzen wir auf einfühlsame Betreuung, erklären jeden Schritt und verwenden schmerzlindernde Tricks (Lokalanästhesie, Vereisung). Ihre Angst vor Spritzen nehmen wir ernst und sorgen dafür, dass Sie die Behandlung so angenehm wie möglich erleben. Durch die regionale Nähe und flexible Terminvergabe sind wir immer ansprechbar, falls Sie nach einer Injektion Fragen haben.
Von Montag bis Samstag können Sie telefonisch und rund um die Uhr elektronisch
einen Termin buchen.
Modernste Therapie, persönliche Begleitung und ein Raum, der Heilung möglich macht – Herzlich Willkommen!
Alfred-Merz-Gasse 9,
2380 Perchtoldsdorf
Österreich

© Copyright. Alle Rechte vorbehalten. Hergestellt mit ♥️ von Klinikx.